Two different perspectives of the posterior segment SD-OCT and Cameras
Through these technologies that image the eye, medical professionals document anatomic structures that can be measured in micons.
By: Tim Bennett, CRA, FOPS, Hershey, Pa.
Ophthalmic Professional July 1, 2014Vol 3, Issue July 2014Page(s): 19, 21, 24
Diagnostics
Two different perspectives of the posterior segment SD-OCT and Cameras
Through these technologies that image the eye, medical professionals document anatomic structures that can be measured in microns.
By Tim Bennett, CRA, FOPS, Hershey, Pa.
The use of the camera to document the condition of the eye dates back to the earliest days of photography. Today we commonly use two different, but complementary, technologies to document the ocular fundus: fundus photography and optical coherence tomography (OCT).
In imaging the fundus, our goal is to document anatomic structures that can be measured in microns, with enough detail for physicians to make diagnostic decisions. All this must be done through the pupil. Each of these instruments provides a different perspective of the posterior segment.
Fundus Cameras
The fundus camera is a horizontally mounted instrument with an internal electronic flash and an attached camera or digital sensor. Fundus imaging relies on the interaction between the optics of the camera and the optics of the eye itself. These cameras utilize an aspheric design that, when combined with the optics of the eye, matches the plane of focus to the curvature of the fundus. Although it is placed just an inch or two from the subject, proper focus is usually set at a distance, because when aimed into the eye, the light path exiting the fundus camera also passes through the refracting optics of the cornea and the crystalline lens, which are focused at distance upon dilation. The focus control of the fundus camera is used to compensate for refractive errors in the subject eye. Conditions such as myopia or astigmatism are routinely encountered and some fundus cameras have additional controls to compensate for these optical imperfections.
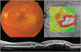
Complementary imaging techniques provide different perspectives of the condition of this patient with AMD and a large area of confluent drusen. The color fundus photograph, retinal thickness map and high-resolution line scan all provide different pieces of the diagnostic puzzle.
The optical system of the fundus camera delivers light axially by projecting a ring of light from the internal strobe through the dilated pupil. The ring shape allows a separation of the outgoing and incoming illumination. The ring fills the outer pupil with light that reflects off the retina, exits the pupil through the center of the ring, and continues through the optics of the camera to form an image of the retina at the imaging plane.
The first step for proper alignment of the fundus camera is to peer around the instrument and place that ring of light within the pupil before looking though the viewfinder to fine-tune the image.
Non-mydriatic instruments
In addition to the traditional fundus camera, non-mydriatic instruments are increasingly being used as screening devices for diabetic retinopathy and glaucoma. Non-mydriatic fundus cameras are designed with an infrared focusing system that promotes physiologic dilation in a darkened environment, making them simple to operate.
The fundus camera provides the traditional en face perspective, approximating the view observed with the ophthalmoscope.
OCT imaging
OCT is a relatively new imaging procedure that is useful in the diagnosis of several posterior-segment disorders that have traditionally been imaged with fundus photography or fluorescein angiography. OCT is based on the principle of low coherence interferometry to measure the optical path length of backscattered light. As an echo technique, OCT is similar to ultrasound in that it detects time-of-flight delay to measure distance, except that near-infrared light (840 nm) is used instead of sound. This difference permits resolution of ≤10µm, which is 10 to 20 times better than ultrasound. A superluminescent diode light is directed at both the eye and a reference mirror or spectrometer at a known spatial location. Light “echoes” backscattered from different layers of the retina are compared against the reference arm, analyzed, measured, and displayed in false color or grayscale based on depth and reflectivity.
This real-time, non-invasive technique offers assessment of retinal morphology or structure through identification of individual layers of the retina. This adds depth information to the en face view observed with an ophthalmoscope or fundus camera.
OCT evolution
The evolution of OCT technology has matured to the point where OCT use has become commonplace in many practice settings. Spectral-domain OCT (SD-OCT) is the latest generation of instrumentation combining high-speed capture with high resolution.
SD-OCT is particularly useful in the detection of vitreo-retinal traction, macular holes, epiretinal membranes, subretinal fluid, and retinal pigment epithelial detachments. In addition to the structural information provided by individual line scans, multiple slices can be combined to create volume maps representative of retinal topography. Volume measurements can quantify and monitor change in retinal thickness due to macular edema or other causes. Identification and quantification of individual layers, such as the retinal nerve fiber layer and ganglion cell complex, are useful in tracking progression of glaucoma. SD-OCT is also capable of generating three-dimensional cubes that enhance understanding of depth, form and structure.
Fundus cameras and SD-OCT instruments provide two different, but complementary, perspectives of the posterior segment of the eye. Both modalities require a basic understanding of posterior-segment anatomy, landmarks and common pathology to get the best diagnostic results. It is important that ophthalmic personnel not only know how to operate both types of instrument, but also understand both modalities’ roles in the diagnosis and monitoring of posterior-segment conditions. OP
Mr. Bennett is an ophthalmic photographer in the Penn State University Department of Ophthalmology at Milton S. Hershey Medical Center. He is a nationally recognized author, lecturer and educator in the field of ophthalmic photography and has served as president of the Ophthalmic Photographers’ Society.